Échographie Oculaire

Imagerie ultrasonore spécialisée de l'œil à Paris 15e : échographie mode B et UBM pour un diagnostic précis lorsque l'examen direct est impossible.

L'échographie oculaire est un examen d'imagerie indispensable lorsque la visualisation directe des structures intraoculaires est impossible : milieux opaques (cataracte dense, hémorragie du vitré, opacité cornéenne) ou exploration du segment antérieur en profondeur. Elle utilise des ultrasons à haute fréquence (10 à 50 MHz) sans rayonnement ionisant, offrant une exploration sûre, indolore et reproductible.

À l'Institut Parisien d'Ophtalmologie, l'échographie oculaire est réalisée par des praticiens dédiés cumulant plus de 15 ans d'expérience en imagerie ultrasonore. Plus de 500 échographies sont réalisées chaque année dans notre centre, couvrant les modalités : mode B haute résolution et biomicroscopie ultrasonore (UBM). Les résultats sont interprétés immédiatement et discutés avec l'ophtalmologiste en charge du patient.

500+ échographies par an
15 ans d'expérience en imagerie
2 modalités (mode B et UBM)
Rapide résultats et interprétation

Notre expertise en échographie

Adil El Maftouhi, orthoptiste spécialiste en imagerie oculaire

Adil El Maftouhi

Orthoptiste, spécialiste en imagerie oculaire et expert en OCT

Formé à l'échographie oculaire depuis plus de 15 ans, M. El Maftouhi réalise quotidiennement les explorations en mode B et UBM. Également expert en OCT, notamment sur le Dream OCT d'Intalight (dernière génération), son expertise permet une acquisition optimale des images et une collaboration étroite avec les ophtalmologistes pour l'interprétation des résultats.

Dr Charles Van Went, ophtalmologiste

Dr Charles Van Went

Ophtalmologiste, co-fondateur de l'IPO

Formé à l'Hôpital des Quinze-Vingts, le Dr Van Went pratique l'échographie oculaire depuis plus de 15 ans. Il supervise et interprète les échographies, avec une expertise particulière dans le diagnostic des tumeurs oculaires et le suivi des pathologies rétiniennes.

Quand prescrire une échographie oculaire ?

L'échographie est indiquée dès que l'examen direct du fond d'oeil est impossible ou insuffisant.

🌫

Cataracte dense

Quand le cristallin opaque empêche de voir la rétine, l'écho vérifie l'état du segment postérieur avant la chirurgie.

🔴

Hémorragie du vitré

Le sang dans le vitré masque la rétine. L'écho recherche un décollement de rétine sous-jacent nécessitant une chirurgie urgente.

⚠️

Traumatisme oculaire

Après un choc, l'échographie détecte les lésions internes : décollement de rétine, corps étranger, hémorragie.

👁

Tumeur intraoculaire

L'écho caractérise les tumeurs (taille, réflectivité, vascularisation) et aide au diagnostic différentiel : mélanome, métastase, hémangiome.

🔬

Glaucome (UBM)

L'UBM explore l'angle irido-cornéen en profondeur, indispensable pour diagnostiquer le glaucome par fermeture de l'angle.

Physique des ultrasons en ophtalmologie

L'échographie repose sur l'effet piézoélectrique : un cristal (généralement du titanate de baryum ou du PZT) se déforme sous l'effet d'un courant électrique alternatif, produisant des ondes acoustiques de haute fréquence. Ces mêmes cristaux convertissent les échos de retour en signaux électriques, permettant la construction de l'image.

Fréquence et résolution

En ophtalmologie, les fréquences utilisées vont de 10 MHz (échographie mode B standard) à 50 MHz (UBM). Plus la fréquence est élevée, meilleure est la résolution axiale (capacité à distinguer deux structures proches), mais plus la pénétration est faible. À 10 MHz, la résolution axiale est d'environ 150 µm avec une pénétration de 50 mm (suffisante pour le globe entier). À 50 MHz, la résolution atteint 25-30 µm mais la pénétration se limite à 5 mm (segment antérieur uniquement).

Impédance acoustique et échos

Lorsque les ultrasons traversent un milieu, ils sont partiellement réfléchis à chaque interface acoustique (zone de changement d'impédance). L'amplitude de l'écho dépend de la différence d'impédance entre les deux milieux. Ainsi, l'interface vitré-rétine produit un écho modéré, tandis qu'une calcification ou un corps étranger métallique génère un écho très intense. Le vitré normal, homogène, ne produit aucun écho (anéchogène).

Compromis fréquence / pénétration

Ce compromis fondamental guide le choix de la sonde : 10 MHz pour l'exploration du globe complet et de l'orbite (mode B) ; 20 MHz pour une résolution intermédiaire sur le segment postérieur ; 35 à 50 MHz pour le segment antérieur (UBM). L'atténuation du faisceau augmente avec la fréquence selon une relation quasi-linéaire dans les tissus oculaires.

Gain et courbe TGC

Le gain amplifie les échos reçus. La courbe TGC (Time Gain Compensation) compense l'atténuation progressive du faisceau en profondeur, appliquant un gain croissant aux échos tardifs. Un réglage optimal est essentiel pour différencier les structures tissulaires : un gain trop élevé crée des artefacts, un gain trop faible masque les pathologies subtiles.

Mode B : imagerie bidimensionnelle en temps réel

Le mode B (Brillance) reconstruit une image en coupe bidimensionnelle du globe oculaire en temps réel. Chaque écho est représenté par un point lumineux dont l'intensité est proportionnelle à l'amplitude de l'écho. C'est l'examen de première intention lorsque l'examen du fond d'œil est impossible.

Technique par contact

La sonde (10 MHz) est appliquée directement sur la paupière fermée à travers un gel de couplage stérile. Le patient est en position semi-assise ou allongée. Cette technique est rapide, confortable et permet l'exploration du globe complet et de l'orbite antérieure. L'opérateur réalise des coupes standardisées en déplaçant la sonde selon différentes orientations.

Coupes standardisées

L'exploration systématique comprend des coupes axiales (horizontales passant par le nerf optique et le cristallin), longitudinales (radiales, orientées selon les méridiens horaires) et transversales (perpendiculaires aux méridiens). Cette approche permet de localiser précisément toute anomalie dans l'espace tridimensionnel du globe et de mesurer ses dimensions avec fiabilité.

Cinétique et mobilité

L'examen en temps réel permet d'évaluer la mobilité des structures : un décollement de rétine est caractérisé par des mouvements ondulants limités avec un point d'attache fixe (ora serrata, papille). Une hémorragie intravitréenne montre des échos mobiles suivant les mouvements oculaires avec un léger retard (after-movements). La cinétique est un critère diagnostique majeur.

Principe de l'échographie oculaire — Mode B Échographie oculaire — Principe du mode B avec image résultante Sonde sur la paupière Cornée Cristallin Vitré Rétine Nerf optique Sonde 10 MHz paupière fermée + gel Ondes émises Échos de retour Signal traité Image B-scan résultante Vitré anéchogène Cristallin Cornée Rétine/sclère N. optique 5 mm Examen indolore | Durée : 10 – 20 min | Fréquence : 10 MHz | Sans rayonnement ionisant
Principe de l'échographie oculaire en mode B : la sonde posée sur la paupière fermée émet des ultrasons qui traversent le globe. Les échos de retour, traités par l'appareil, reconstituent une image en coupe 2D (B-scan) affichée en temps réel sur l'écran.

Indications de l'échographie oculaire

L'échographie oculaire est indiquée chaque fois que l'examen clinique du fond d'œil est impossible ou insuffisant, ainsi que pour l'exploration du segment antérieur en profondeur. Voici les principales indications détaillées.

Opacités des milieux

Lorsque les milieux transparents sont altérés -- cataracte dense, hémorragie intravitréenne, opacité cornéenne, endophtalmie, hyalite dense -- l'examen du fond d'œil est impossible. L'échographie mode B permet alors de « voir à travers » ces opacités et de détecter un décollement de rétine, une tumeur ou un corps étranger qui nécessiteraient une prise en charge urgente.

Décollement de rétine

Le décollement de rétine apparaît en mode B comme une membrane fine, lisse et hyperéchogène décollée de la paroi postérieure, formant un V caractéristique dont les branches s'insèrent à l'ora serrata et à la papille. Sa mobilité est limitée et ondulante. L'échographie précise l'étendue, la localisation des déhiscences et distingue un décollement rhegmatogène d'un décollement tractionnel (membrane rigide, peu mobile).

Tumeurs intraoculaires

L'échographie est essentielle pour le diagnostic et la caractérisation des tumeurs. Le mélanome choroïdien se présente typiquement comme une lésion en dôme ou en champignon, avec une excavation choroïdienne et une réflectivité interne basse. Le rétinoblastome montre des calcifications hyperéchogènes avec cône d'ombre. Les métastases choroïdiennes sont souvent plates, multifocales, avec une réflectivité interne moyenne-haute irrégulière. L'hémangiome choroïdien présente une réflectivité haute et régulière.

Corps étrangers intraoculaires

Un corps étranger intraoculaire (CEIO) apparaît comme un écho très brillant avec un cône d'ombre postérieur (matériaux métalliques, verre) ou une réverbération. L'échographie précise sa localisation (intra- ou extravitréenne, intrapariétale, rétrobulbaire), sa taille et les éventuelles lésions associées (décollement de rétine, hémorragie). Indispensable en urgence traumatique lorsque l'IRM est contre-indiquée (CEIO métallique).

Décollement choroïdien

Le décollement choroïdien se distingue du décollement de rétine par son aspect plus épais, lisse, en dôme convexe, avec une mobilité très réduite. En cas de décollement hémorragique (hémochoroïde), le contenu est échogène. Les décollements choroïdiens multiples peuvent se toucher en « kissing choroidals ». L'échographie est essentielle pour évaluer la situation avant toute reprise chirurgicale.

Pathologies orbitaires

L'échographie mode B explore également l'orbite antérieure : épaississement des muscles oculomoteurs (orbitopathie thyroïdienne), masses orbitaires (lymphome, tumeur des glandes lacrymales), abcès sous-périostés, mucocèles. L'analyse de la réflectivité échographique aide à différencier les lésions kystiques (très basse réflectivité) des lésions solides.

Indications de l'échographie oculaire — 4 pathologies clés Indications de l'échographie oculaire — 4 pathologies clés Hémorragie intravitréenne ? Échos diffus mobiles dans le vitré Fond d'œil invisible Recherche DR associé After-movements +++ Décollement de rétine Ora Ora Papille Liquide sous-rétinien Forme en V typique Insertion ora + papille Mobilité ondulante Membrane fine et lisse Tumeur intraoculaire Réflectivité interne basse Forme en dôme/champignon Excavation choroïdienne Réflectivité échographique : Mélanome : basse, régulière Métastase : moy-haute, irrég. Hémangiome : haute, régulière Rétinoblastome : calcifications Corps étranger (CEIO) CEIO Ombre Écho brillant + ombre Localisation précise Réverbérations si métal Lésions associées (DR ?)
Quatre indications majeures de l'échographie oculaire : hémorragie intravitréenne (échos mobiles diffus), décollement de rétine (membrane en V), tumeur intraoculaire (dôme avec réflectivité interne caractéristique), corps étranger (écho brillant avec cône d'ombre postérieur).

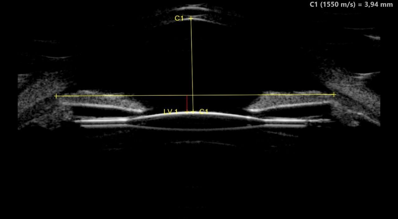
UBM — Biomicroscopie ultrasonore

La biomicroscopie ultrasonore (UBM) utilise des fréquences très élevées de 35 à 50 MHz, offrant une résolution exceptionnelle de 25 à 50 µm au prix d'une pénétration limitée à 4-5 mm. Elle est dédiée à l'exploration du segment antérieur de l'œil, zone inaccessible à l'échographie conventionnelle à 10 MHz et partiellement masquée en OCT par l'iris pigmenté.

Angle irido-cornéen

L'UBM visualise directement l'angle de la chambre antérieure sur 360 degrés, y compris derrière l'iris. C'est l'examen de référence pour le diagnostic du glaucome par fermeture de l'angle : iris plateau (position antérieure du corps ciliaire), bloc pupillaire, angle étroit. Elle guide la décision d'iridotomie laser ou d'extraction du cristallin.

Corps ciliaire et sulcus

L'UBM est la seule technique d'imagerie permettant de visualiser le corps ciliaire dans sa totalité : processus ciliaires, pars plana, zonules. Elle mesure le sulcus ciliaire (diamètre sulcus-à-sulcus), donnée indispensable pour le dimensionnement des implants phakes ICL (Implantable Collamer Lens). Un mauvais dimensionnement peut entraîner un glaucome par contact iris-implant ou une cataracte par contact cristallin-implant.

Tumeurs du segment antérieur

Les tumeurs de l'iris et du corps ciliaire (mélanome, kyste, métastase) sont caractérisées par l'UBM : extension en profondeur, envahissement de l'angle, rapport avec le cristallin et le corps ciliaire. L'UBM permet de mesurer l'épaisseur tumorale avec précision, critère pronostique important dans le mélanome irien. Elle détecte également l'extension antérieure de tumeurs choroïdiennes.

Implants et chirurgie

L'UBM contrôle le positionnement des implants intraoculaires : implants de chambre postérieure (vaulting de l'ICL par rapport au cristallin), implants de chambre antérieure (distance par rapport à l'endothélium cornéen), implants suturés à la sclère. Elle évalue également les complications post-opératoires : déplacement d'implant, synéchies antérieures, fibrose capsulaire.

UBM du segment antérieur — Anatomie haute résolution UBM — Biomicroscopie ultrasonore du segment antérieur Anatomie du segment antérieur Chambre antérieure Cornée Épithélium + stroma + endothélium Iris Corps ciliaire + processus ciliaires Cristallin Angle Diamètre sulcus-à-sulcus (mesure ICL) 50 MHz Image UBM résultante Cornée Chambre antérieure Iris Iris Cristallin CC CC Angle 1 mm Avantages de l'UBM Visualise derrière l'iris (impossible en OCT) | Résolution 25-50 µm | Mesure du sulcus pour ICL
Biomicroscopie ultrasonore (UBM) à 50 MHz : l'anatomie du segment antérieur (à gauche) est reproduite avec une résolution exceptionnelle sur l'image UBM (à droite). L'angle irido-cornéen, le corps ciliaire (CC) et le sulcus sont visibles en détail, permettant le diagnostic du glaucome par fermeture de l'angle et le dimensionnement des implants phakes.

Déroulement détaillé de l'examen

1

Accueil et préparation du patient

L'examen ne nécessite aucune préparation particulière : pas de jeûne, pas d'arrêt de traitement, pas de dilatation pupillaire préalable (sauf si un examen du fond d'œil est prévu dans la même consultation). Il est recommandé de retirer les lentilles de contact avant l'examen. Le patient est informé du déroulement et de la nature indolore de l'examen. Pour le mode B, le patient est installé en position semi-assise ou allongée, confortablement appuyé. Pour l'UBM, une position allongée stricte est requise.

2

Installation et application du gel / de l'anneau

Pour le mode B par contact, un gel de couplage acoustique stérile (méthylcellulose) est appliqué en couche épaisse sur la paupière fermée. Le gel assure la transmission des ultrasons en éliminant l'air entre la sonde et la peau. Pour l'UBM, un collyre anesthésiant (oxybuprocaïne) est instillé, puis une coque d'immersion (anneau de Prager) est posée sur l'œil ouvert et remplie de sérum physiologique tiède.

3

Acquisition des images et mesures

L'opérateur déplace la sonde selon des coupes standardisées. En mode B, des coupes axiales, longitudinales et transversales balaient systématiquement les 360 degrés du globe. On demande au patient de regarder dans différentes directions pour explorer toutes les régions. L'examen dure 10 à 20 minutes selon le nombre de modalités.

4

Ce que ressent le patient

L'examen est totalement indolore. En mode B par contact, le patient ressent simplement une légère pression de la sonde sur la paupière fermée à travers le gel, comparable à un massage doux. Pour l'UBM, l'anesthésie topique supprime toute sensation de la coque d'immersion ; le patient peut percevoir une sensation de fraîcheur liée au sérum physiologique. Aucun éblouissement, aucune sensation de piqûre. L'examen n'altère pas la vision et le patient peut reprendre ses activités immédiatement après.

5

Résultats et compte-rendu

Les résultats sont disponibles immédiatement. Un compte-rendu détaillé avec les images clés (annotées et mesurées) est remis au patient et transmis au médecin prescripteur. En cas de découverte d'une anomalie urgente (décollement de rétine, tumeur suspecte), le patient est orienté sans délai vers le spécialiste adapté au sein de l'IPO ou en milieu hospitalier.

Questions fréquentes

L'échographie oculaire est-elle douloureuse ?

Non, l'examen est totalement indolore. En mode B par contact, la sonde glisse doucement sur la paupière fermée à travers un gel. Pour l'UBM, un collyre anesthésiant est instillé avant la pose de la coque d'immersion, supprimant toute sensation. Aucune injection n'est nécessaire.

Combien de temps dure l'examen ?

La durée varie selon les modalités demandées : un mode B simple dure environ 10 minutes, un UBM 15 à 20 minutes. Si les deux modalités sont combinées dans la même séance, comptez 20 à 30 minutes au total.

Y a-t-il des contre-indications ?

L'échographie oculaire n'a pratiquement aucune contre-indication. Elle n'utilise pas de rayonnement ionisant et peut être réalisée chez la femme enceinte, l'enfant et le patient porteur de matériel métallique (contrairement à l'IRM). La seule précaution concerne les plaies du globe ouvertes (non suturées) : dans ce cas, on évite la technique par contact direct et on privilégie la technique par immersion avec une coque stérile, ou l'examen est reporté après suture chirurgicale.

Faut-il une ordonnance pour réaliser cet examen ?

L'échographie oculaire est un examen médical réalisé par un ophtalmologiste ou sous sa responsabilité. Elle peut être prescrite par votre ophtalmologiste, votre médecin traitant ou un spécialiste. Dans le cadre d'une consultation ophtalmologique à l'IPO, l'examen peut être réalisé dans la même séance si le médecin le juge nécessaire, sans ordonnance préalable distincte.

Quelle est la différence entre l'échographie et l'OCT ?

L'OCT (tomographie en cohérence optique) utilise la lumière infrarouge et offre une résolution micrométrique exceptionnelle (~5 µm), mais elle ne peut pas traverser les milieux opaques (cataracte dense, hémorragie). L'échographie utilise des ultrasons qui traversent tous les milieux, même opaques, avec une résolution moindre (~150 µm à 10 MHz) mais une pénétration bien supérieure. Les deux examens sont complémentaires : l'OCT pour l'analyse fine de la rétine et du nerf optique en milieux clairs, l'échographie pour l'exploration en milieux opaques et du segment antérieur.

L'échographie est-elle utilisée chez l'enfant ?

Oui, l'échographie oculaire est parfaitement réalisable chez l'enfant, y compris le nourrisson. Elle est essentielle dans le diagnostic du rétinoblastome (tumeur maligne de l'enfant), la recherche de calcifications intraoculaires, l'évaluation des cataractes congénitales et les malformations oculaires. Chez le très jeune enfant, l'examen peut nécessiter une sédation légère ou être réalisé pendant le sommeil.

Peut-on conduire après l'examen ?

Oui, dans la grande majorité des cas. L'échographie mode B n'affecte pas la vision. Après un UBM, le collyre anesthésiant peut entraîner un léger flou visuel pendant 15 à 20 minutes ; il est alors préférable d'attendre avant de reprendre le volant. Si une dilatation pupillaire a été associée dans la même consultation, la conduite est déconseillée pendant 2 à 3 heures.

L'examen est-il remboursé par la Sécurité sociale ?

Oui, l'échographie oculaire est un acte médical inscrit à la nomenclature (CCAM) et pris en charge par l'Assurance maladie. Le mode B et l'UBM sont des actes codifiés et remboursés. Un éventuel complément d'honoraires peut s'appliquer selon le secteur de conventionnement du praticien ; votre complémentaire santé prend généralement en charge ce complément.

Synthèse des modalités échographiques

Mode B (coupe 2D)

Image bidimensionnelle en temps réel du globe oculaire. Fréquence de 10 MHz, pénétration ~50 mm. Examen de référence en cas de milieux opaques. Détecte les décollements de rétine, hémorragies intravitréennes, tumeurs, corps étrangers, décollements choroïdiens. Technique par contact (paupière fermée + gel) ou par immersion (coque + sérum physiologique).

UBM (35-50 MHz)

Exploration haute résolution (25-50 µm) du segment antérieur. Visualise l'angle irido-cornéen, le corps ciliaire, le sulcus et les implants. Indispensable pour le diagnostic du glaucome par fermeture de l'angle, les tumeurs du corps ciliaire, le dimensionnement des implants phakes ICL et le contrôle post-opératoire des implants de chambre antérieure et postérieure.

Échographie oculaire à l'IPO Paris

Prenez rendez-vous pour une exploration échographique complète de vos yeux : mode B et UBM. Résultats rapides et expertise spécialisée.

RDV Échographie oculaire